El cáncer en perros es un tema muy importante, ya que es una de las principales causas de enfermedad crónica y muerte en mascotas adultas. Aquí tienes una lista de temas organizados por categorías que puedes usar para artículos, charlas, cursos o contenidos educativos:
1. ¿Qué es el cáncer en perros?
El cáncer (o neoplasia) se refiere a un crecimiento anormal de células que se multiplican de manera descontrolada y no cumplen las reglas normales de regulación celular. En perros (al igual que en otros animales), estas células pueden invadir tejidos adyacentes y, en muchos casos, diseminarse a otras partes del cuerpo (metástasis).
- Se estima que uno de cada tres perros desarrollará cáncer en algún momento de su vida.
- En perros mayores de 10 años, la probabilidad de desarrollar cáncer se acerca al 50 %.
- El cáncer en perros puede afectar cualquier órgano o tejido: piel, huesos, sistema linfático, órganos internos, etc.
El hecho de que los perros vivan más tiempo — debido a mejores cuidados veterinarios, nutrición y control de enfermedades— hace que haya un mayor tiempo de exposición a factores que promueven el cáncer.
2. ¿Cómo se forma un tumor? Diferencia entre tumores benignos y malignos

Formación de un tumor
- Daño o mutación celular
Células normales pueden sufrir mutaciones en su ADN debido a agentes externos (radiación, sustancias químicas, virus, etc.) o internos (errores durante la división celular). Estas mutaciones pueden afectar genes que regulan el crecimiento celular (oncogenes) o genes que frenan el crecimiento (genes supresores). - Proliferación descontrolada
Las células mutadas pueden evadir mecanismos de control (apoptosis, senescencia) y comenzar a dividirse más rápido de lo normal. - Formación de masa o nódulo
Con el tiempo, esas células proliferativas pueden formar una masa de tejido (tumor). - Invasión y metástasis (en los casos malignos)
Células del tumor pueden infiltrarse en tejidos circundantes y diseminarse a través del torrente sanguíneo o linfático hacia órganos distantes.
Tumores benignos vs malignos
| CARACTERISTICA | TUMOR BENIGNO | TUMOR MALIGNO |
|---|---|---|
| Característica | Tumor benigno | Tumor maligno |
| Crecimiento | Suele crecer lentamente | Crecimiento rápido o variable |
| Invasión local | No invade tejidos circundantes | Invade tejidos vecinos |
| Metástasis | No se disemina a otras partes del cuerpo | Puede metastatizar (pulmones, hígado, huesos, etc.) |
| Recurrencia | Menos probable, si se extirpa completamente | Alta probabilidad de recurrencia si quedan células malignas |
| Apariencia | Bien delimitado, encapsulado muchas veces | Bordes irregulares, infiltrativo |
Ejemplo de tumor común: los mastocitomas son tumores de piel muy frecuentes en perros. Pueden comportarse de forma variable: algunos son relativamente benignos (grado bajo) y otros pueden ser agresivos.
Otro ejemplo: las neoplasias óseas como el osteosarcoma son malignas, muy agresivas y con tendencia a metástasis.
3. Factores de riesgo más comunes
Algunos perros tienen mayor probabilidad de desarrollar cáncer por la interacción entre factores genéticos, ambientales y del estilo de vida. Aquí los más reconocidos:
- Edad avanzada: mientras más años tenga el perro, mayor es el riesgo.
- Genética y predisposición de raza: ciertas razas tienen genes que las hacen más susceptibles.
- Obesidad: el exceso de grasa puede influir en procesos inflamatorios que favorezcan mutaciones.
- Exposición a carcinógenos ambientales:
- Radiación ultravioleta (sol)
- Productos químicos: pesticidas, herbicidas, contaminantes, humo de tabaco
- Sustancias químicas industriales, productos de limpieza agresivos
- Hormonas y estado reproductivo:
- En hembras no esterilizadas, riesgo mayor de tumores mamarios.
- Tumores de glándulas perianales (glandulas hepatoideas) relacionados a hormonas sexuales.
- Inmunidad debilitada o inflamación crónica: procesos inflamatorios prolongados pueden favorecer el daño celular.
- Infecciones virales / agentes biológicos: aunque menos comunes en perros que en otros animales, algunos virus pueden tener papel en ciertos tipos de cáncer. (En otras especies esto es más documentado).
- Implantes quirúrgicos o trauma crónico: en algunos casos se ha especulado que implantes metálicos, traumatismos constantes, pueden favorecer la transformación de células locales.
4. Razas con mayor predisposición genética al cáncer
Aunque ninguna raza está completamente libre de riesgo, algunas razas se observan con mayor incidencia en ciertos tipos de cáncer:
Golden retrievers, Boxers, Rottweilers, Bernese Mountain Dogs, Scottish Terriers, Beagles, Bulldogs, Pastores alemanes, Dobermans, Weimaraners, Mastines, Terriers como el Cairn, el West Highland white
Además, según investigación reciente en genética oncológica canina, se están identificando mutaciones heredadas que predisponen a ciertos perros a desarrollar cáncer, lo que puede servir de guía para prevención, tamizaje o estudios personalizados.
5. Signos tempranos de alerta que no deben ignorarse
Detectar el cáncer lo más temprano posible puede aumentar las opciones de tratamiento y mejorar el pronóstico. Algunos signos tempranos que los dueños y veterinarios deben vigilar:
- Pérdida de peso inexplicable sin cambios en dieta
- Cambios en el apetito (disminución o aumento)
- Letargo, cansancio, decaimiento inexplicable
- Nódulos o bultos en la piel o debajo de la piel, que aparecen sin razón aparente, crecen, cambian de forma o no desaparecen
- Agrandamiento de ganglios linfáticos palpables
- Heridas o ulceraciones que no cicatrizan adecuadamente
- Secreciones anormales (sangrado, pus) por cualquier orificio (nariz, boca, útero, ano)
- Dificultad para respirar, tos persistente sin causa aparente
- Dificultad para comer, salivación excesiva, caída de comida de la boca
- Cojera persistente o dolor aparentemente sin causa clara (posible tumor óseo)
Consejo importante: No todos los bultos o signos similares significan cáncer. Muchos son benignos (no cancerosos). Pero cualquier señal inusual debe evaluarse con un veterinario, idealmente con un especialista en oncología veterinaria, quien puede solicitar pruebas diagnósticas más precisas (biopsias, imágenes, análisis de sangre).
6. Tipos de cáncer más frecuentes en perros
Los tipos de cáncer más frecuentes en perros incluyen tumores cutáneos, mamarios, linfáticos, óseos, vasculares, orales, reproductivos y viscerales. Cada uno presenta síntomas, pronóstico y tratamientos distintos, por lo que la detección temprana es clave para mejorar la calidad de vida del animal. Aquí te presento una ampliación detallada y referencias confiables para cada tipo:
1. Cáncer de piel y mastocitomas

- Los mastocitomas son tumores cutáneos que pueden ser benignos o agresivos.
- Suelen aparecer como bultos en la piel, a veces ulcerados o con cambios de color.
- Son comunes en razas como Boxer, Labrador y Shar Pei.
- El tratamiento incluye cirugía, quimioterapia o radioterapia según el grado del tumor.
2. Cáncer mamario (tumores de glándula mamaria)

- Afecta principalmente a perras no esterilizadas.
- Se presenta como nódulos en las glándulas mamarias, que pueden crecer rápidamente.
- La esterilización temprana reduce el riesgo hasta en un 80%.
- El tratamiento suele ser quirúrgico, acompañado de biopsia y seguimiento oncológico.
3. Linfoma canino

- Es un cáncer del sistema linfático, muy común en perros.
- Se manifiesta por ganglios inflamados, pérdida de apetito y letargo.
- Responde bien a la quimioterapia, aunque no siempre es curable.
- Puede afectar órganos internos como el hígado y el bazo.
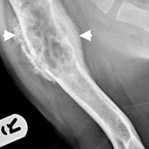
4. Osteosarcoma (cáncer de hueso)

- Es muy agresivo y frecuente en razas grandes como el Gran Danés o el Rottweiler.
- Afecta principalmente las extremidades, causando cojera y dolor.
- El diagnóstico suele ser tardío, y el tratamiento incluye amputación y quimioterapia.
- Tiene alta tasa de metástasis pulmonar.
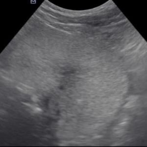
5. Hemangiosarcoma

- Tumor maligno de los vasos sanguíneos, común en el bazo, hígado y corazón.
- Suele detectarse tras una hemorragia interna repentina.
- Es silencioso y letal, con pronóstico reservado.
- El tratamiento incluye cirugía y quimioterapia, aunque la supervivencia es limitada.
6. Melanoma oral

- Tumor pigmentado que aparece en encías, labios o lengua.
- Es invasivo y puede dificultar la alimentación.
- Requiere cirugía agresiva y radioterapia.
- Es más común en perros mayores y razas como el Cocker Spaniel.
7. Cáncer testicular y prostático

- El cáncer testicular es más común en perros no castrados, especialmente si tienen testículos retenidos (criptorquidia).
- El cáncer de próstata puede causar dificultad para orinar o defecar.
- La castración preventiva reduce significativamente el riesgo.
- El tratamiento incluye cirugía y terapia hormonal.
8.Cáncer hepático (de hígado)

- Primario (originado en el hígado): como el carcinoma hepatocelular o el colangiocarcinoma.
- Secundario o metastásico: cuando el tumor viene de otro órgano (por ejemplo, de un hemangiosarcoma esplénico o mamario).
- En perros, el carcinoma hepatocelular es el más común entre los primarios.
- A diferencia del hemangiosarcoma, suele crecer más lentamente y puede ser operable si se detecta a tiempo.
8.Cáncer esplenico (de bazo)

- El cáncer del bazo también puede ser primario o secundario
- Primario más común: Hemangiosarcoma.
- Otros tipos menos frecuentes: linfoma, fibrosarcoma, leiomiosarcoma, histiocitoma maligno, etc.
- En muchos casos, los tumores esplénicos se diagnostican solo cuando se rompen y provocan hemorragia abdominal (hemoperitoneo).
7. Diagnóstico del cáncer en perros
Pruebas básicas
- Examen físico: detección de masas, ganglios inflamados, dolor localizado o cambios en el comportamiento.
- Hemograma y perfil bioquímico: permiten evaluar anemia, leucocitosis, alteraciones hepáticas o renales que pueden estar asociadas al cáncer o influir en el tratamiento.
Diagnóstico por imagen
- Radiografías: útiles para detectar tumores óseos, masas torácicas o abdominales.
- Ecografías: permiten visualizar tejidos blandos como hígado, bazo, vejiga y próstata.
- Tomografía computarizada (TC) y resonancia magnética (RM): ofrecen imágenes tridimensionales de alta precisión, esenciales para planificar cirugías o radioterapia.
Biopsias y citologías
- Citología por aspiración con aguja fina: técnica rápida y poco invasiva para evaluar células tumorales.
- Biopsia: permite estudiar la arquitectura del tejido y confirmar el tipo de cáncer mediante histopatología.
Estadificación del cáncer
- Se determina según el tamaño del tumor, invasión local, afectación de ganglios linfáticos y metástasis.
- Las etapas van de I (localizado) a IV (metástasis distante), lo que orienta el tratamiento y pronóstico.
Marcadores tumorales
- Timidina quinasa 1 (TK1) y proteína C reactiva (PCR): útiles en linfomas y hemangiosarcomas.
- ADN tumoral circulante (ctDNA) y microARN: en investigación para detección temprana y seguimiento.
- Ki-67 y PCNA: indican proliferación celular y agresividad tumoral.
8. Tratamientos oncológicos en perros
Cirugía oncológica
- Indicada para tumores localizados o como parte de un tratamiento combinado.
- Puede ser curativa o paliativa, dependiendo del tipo y estadio del cáncer.
Quimioterapia
- Protocolos comunes: CHOP (ciclofosfamida, doxorrubicina, vincristina, prednisona) para linfoma.
- Efectos secundarios: vómitos, diarrea, inmunosupresión. La mayoría son leves y manejables.
Radioterapia
- Utilizada para tumores cerebrales, nasales, orales y espinales.
- Puede ser curativa o paliativa. Requiere sedación y equipos especializados.
Terapias de soporte
- Incluyen manejo del dolor, nutrición especializada, hidratación, y apoyo emocional.
- Mejoran la calidad de vida y ayudan a tolerar los tratamientos.
Inmunoterapia y medicina regenerativa
- Vacunas oncológicas: como la xenovacuna para melanoma canino.
- Anticuerpos monoclonales: dirigidos contra CD20 en linfomas.
- Inhibidores de puntos de control: en investigación para superar la inmunosupresión tumoral.
- Medicina regenerativa: incluye terapias con células madre y citocinas para estimular la respuesta inmune.

9. Cuidados complementarios y paliativos
Control del dolor y manejo del estrés
- Se utilizan analgésicos como tramadol, meloxicam o gabapentina, según el tipo de dolor.
- El manejo del estrés incluye rutinas suaves, contacto afectivo y espacios tranquilos.
- Técnicas como masajes terapéuticos, terapia láser y acupuntura pueden complementar el alivio.
Nutrición adecuada
- Dietas ricas en proteínas de alta calidad, ácidos grasos omega-3 y antioxidantes ayudan a fortalecer el sistema inmunológico.
- Se evita el exceso de carbohidratos simples, que pueden alimentar células tumorales.
- Es clave adaptar la dieta según el tipo de cáncer y tolerancia digestiva.
Terapias naturales y complementarias
- Fitoterapia: plantas como cúrcuma, cardo mariano y astrágalo tienen propiedades antiinflamatorias e inmunomoduladoras.
- Reiki y acupuntura: ayudan a reducir el dolor, ansiedad y mejorar el bienestar general.
- Siempre deben ser supervisadas por veterinarios especializados en medicina integrativa.
Cuidados domiciliarios y acompañamiento emocional
- Adaptar el hogar con camas ortopédicas, rampas, pisos antideslizantes y acceso fácil a agua y comida.
- Mantener rutinas, contacto afectivo y estimulación mental suave.
- El tutor debe recibir apoyo emocional, orientación y herramientas para tomar decisiones compasivas.
10. Prevención y detección temprana
Chequeos veterinarios regulares
- Especialmente en perros mayores de 7 años, cada 6 a 12 meses.
- Incluyen examen físico, hemograma, perfil bioquímico y palpación de masas.

Esterilización temprana
- Reduce el riesgo de tumores mamarios, testiculares y prostáticos.
- Ideal antes del primer celo en hembras para máxima protección.
Control de exposición a carcinógenos
- Evitar pesticidas, humo de tabaco, productos de limpieza tóxicos y radiación solar excesiva.
- Usar productos naturales y seguros en el entorno del animal.
Observación diaria por parte del tutor
- Detectar bultos, heridas que no sanan, cambios de apetito, peso, energía o comportamiento.
- Registrar síntomas y consultar al veterinario ante cualquier anomalía.
Preguntas frecuentes sobre cáncer en perros

1. ¿Cómo puedo saber si mi perro tiene cáncer?
Los signos más comunes incluyen bultos que crecen, heridas que no sanan, pérdida de apetito, cambios de comportamiento, sangrado inexplicable o dificultad para moverse. No todos los bultos son malignos, pero siempre deben ser evaluados por un veterinario.
2. ¿Qué pruebas se hacen para confirmar el diagnóstico?
Se inicia con un examen físico, hemograma y perfil bioquímico. Luego se realizan estudios de imagen como radiografías o ecografías, y finalmente una citología o biopsia para confirmar el tipo de tumor.
3. ¿El cáncer en perros tiene cura?
Depende del tipo, la etapa y la ubicación del cáncer. Algunos tumores se curan con cirugía, otros requieren quimioterapia o radioterapia. En casos avanzados, se busca mejorar la calidad de vida con cuidados paliativos.
4. ¿La quimioterapia en perros es igual que en humanos?
No exactamente. En veterinaria se usan dosis más bajas para evitar efectos secundarios severos. La mayoría de los perros toleran bien el tratamiento y no pierden todo el pelo como ocurre en humanos.
5. ¿Qué razas tienen más riesgo de desarrollar cáncer?
Razas grandes como Rottweiler, Golden Retriever, Boxer y Pastor Alemán tienen mayor predisposición a ciertos tipos de cáncer como osteosarcoma o linfoma. Sin embargo, cualquier perro puede desarrollarlo.
6. ¿La esterilización ayuda a prevenir el cáncer?
Sí. Esterilizar a las hembras antes del primer celo reduce hasta en un 80% el riesgo de tumores mamarios. En machos, la castración previene el cáncer testicular y reduce problemas prostáticos.
7. ¿Qué cuidados puedo dar en casa si mi perro tiene cáncer?
Ofrecer una dieta adecuada, controlar el dolor, mantener rutinas suaves, evitar el estrés y adaptar el entorno para su comodidad. El acompañamiento emocional del tutor es fundamental.
8. ¿Existen terapias naturales que ayuden?
Sí, bajo supervisión veterinaria. La fitoterapia, acupuntura, Reiki y suplementos como omega-3 pueden complementar el tratamiento convencional y mejorar el bienestar del animal.
9. ¿Cómo puedo prevenir el cáncer en mi perro?
Además de la esterilización, es importante evitar la exposición a pesticidas, humo de tabaco y productos tóxicos. Los chequeos veterinarios regulares y la observación diaria son clave para detectar cambios a tiempo.
10. ¿Qué hago si el cáncer no tiene tratamiento curativo?
En esos casos, el enfoque es paliativo: controlar el dolor, mantener la calidad de vida y acompañar emocionalmente al animal. La decisión debe ser compasiva y guiada por el bienestar del perro.
Opinión científica sobre la eutanasia en perros con cáncer
La ciencia veterinaria considera la eutanasia como una opción ética y compasiva en casos de cáncer avanzado en perros, cuando el sufrimiento no puede ser aliviado y la calidad de vida está comprometida. No es la primera ni única alternativa, pero sí una decisión médica y emocional que debe tomarse con información y acompañamiento.

¿Qué dicen los estudios?
- Un estudio realizado en Italia concluyó que el cáncer es la principal causa de eutanasia en perros, siendo 5,8 veces más probable que se recurra a esta opción si el animal tiene una enfermedad neoplásica.
- Las decisiones se basan en factores como edad, sexo, tipo de cáncer, dolor crónico, metástasis y deterioro funcional.
- La eutanasia se considera cuando no hay opciones terapéuticas viables, el animal no responde al tratamiento, o el sufrimiento físico y emocional es irreversible.
¿Qué opinan los oncólogos veterinarios?
- Según el Dr. Óscar Sierra, director del Centro de Oncología Veterinaria de Bogotá, “en oncología veterinaria, el principio fundamental es que, si es posible curar, siempre es posible cuidar”.
- La eutanasia no debe ser la primera opción, ya que existen tratamientos paliativos, quimioterapia suave, inmunoterapia y cuidados complementarios que pueden mejorar la calidad de vida.
- Cada caso debe evaluarse individualmente, con enfoque en el bienestar del animal y el acompañamiento del tutor.
¿Qué se considera una decisión ética?
- La eutanasia es vista como una decisión médica y emocional, que debe tomarse con información clara, empatía y respeto por el vínculo humano-animal.
- Se recomienda realizar una evaluación multidisciplinaria: veterinario clínico, oncólogo, especialista en cuidados paliativos y el tutor.
- El objetivo no es “acabar con la vida”, sino evitar el sufrimiento cuando ya no hay posibilidad de recuperación ni confort.
¿Qué alternativas existen antes de considerar la eutanasia?
- Cuidados paliativos: control del dolor, nutrición especializada, terapias naturales, acompañamiento emocional.
- Tratamientos no invasivos: quimioterapia de baja dosis, inmunoterapia, medicina regenerativa.
- Apoyo al tutor: orientación psicológica, grupos de duelo, decisiones compartidas.
Opiniones comunes de tutores ante la eutanasia
1. Dolor emocional y dilemas éticos
Muchos tutores describen la eutanasia como “la decisión más difícil de sus vidas”. Aunque reconocen que puede ser necesaria, sienten tristeza, culpa o dudas sobre si fue el momento adecuado.
2. Deseo de evitar el sufrimiento
La mayoría de los tutores que optan por la eutanasia lo hacen porque “no quieren ver sufrir a su compañero”. Cuando el cáncer está avanzado y el dolor no puede controlarse, consideran que una muerte asistida es un acto de amor.
3. Confianza en el criterio veterinario
Muchos tutores valoran el acompañamiento profesional y agradecen cuando el veterinario explica con claridad las opciones, el pronóstico y los cuidados paliativos. La decisión suele ser compartida y guiada por el bienestar del animal.
4. Temor al abuso o decisiones precipitadas
Algunos tutores y veterinarios advierten sobre el riesgo de usar la eutanasia como “salida fácil” ante problemas económicos o falta de compromiso. Insisten en que debe ser la última opción, después de explorar tratamientos y cuidados paliativos.
5. Rituales de despedida y duelo
Muchos tutores buscan formas de honrar la vida de su perro: ceremonias, cartas, recuerdos, entierros simbólicos. El duelo es profundo, pero también puede ser transformador si se acompaña con respeto y contención.
Cursos y recursos para acompañar con amor, ciencia y respeto
Nuestros cursos online & E-books especializados no solo enseñan cómo actuar ante emergencias, sino que también te ayudan a comprender cómo el conocimiento científico y el aprendizaje consciente contribuyen al bienestar natural de tu mascota.
🐾 Desde una mirada integral, aprenderás a anticipar riesgos hereditarios, fortalecer la salud emocional y física de tus compañeros peludos, y abordar enfermedades complejas como el cáncer desde la confianza, el respeto y el cuidado ético.
🍲 Además, descubrirás cómo ofrecer una alimentación sana, divertida y 100% apta para mascotas enfermas, adaptada a sus necesidades y pensada para mejorar su calidad de vida durante todo el proceso.
💫 Las terapias de sanación que compartimos no solo alivian el cuerpo, sino que también promueven un mayor nivel de conciencia, conexión y bienestar, tanto para tu mascota como para ti.
Referencia
- WIKIPEDIA.COM: Cancer_in_dogs
- WebMD – Dog Cancer Types, Symptoms, Treatments
- PetMD – Cancer in Dogs: Symptoms, Types, and Treatment
- American Veterinary Medical Association – Cancer in Pets
- Flint Animal Cancer Center – Common Cancers in Dogs
- Pmc.cnbi.nlm: Horizons in Veterinary Precision Oncology (artículo científico)
- BMC “Genetics of canine cancer: a guide for the veterinary oncologist”














